A continuación el resumen de las recomendaciones emitidas por el colegio americano de patólogos para la identificación de bloques de parafina y laminillas en los laboratorios de anatomía patológica, con el fin de asegurar la calidad y seguridad de los pacientes.
viernes, 26 de junio de 2015
Recomendación del CAP/2015 para identificación de bloques y laminillas
Etiquetas:
2015,
american,
anatomía patológica,
bloques,
CAP,
certificación,
college,
current,
etiquetado,
guías,
guidelines,
laminillas,
normas,
of,
pathologist,
practica,
recomendaciones,
recomendations
jueves, 18 de junio de 2015
Secuestro pulmonar intralobar / intralobar pulmonary sequestration
Etiquetas:
foto,
gross,
imagen,
intralobar,
macro,
patología,
pulmonar,
pulmonary,
secuestro,
sequestration
miércoles, 17 de junio de 2015
Fibroma no osificante / non-ossifying fibroma (fibrous cortical defect)
![]() |
| Proliferación fibroblástica en remolinos (storiforme) con histiocitomas de citoplasma espumoso y hemosiderina |
![]() |
| Además células gigantes multinucleadas |
Etiquetas:
cortical,
defect,
Fibroma,
fibrous,
foto,
fotomicrografía,
micro,
microphotography,
no,
non-ossifying,
osificante,
pathology,
photo,
tumor
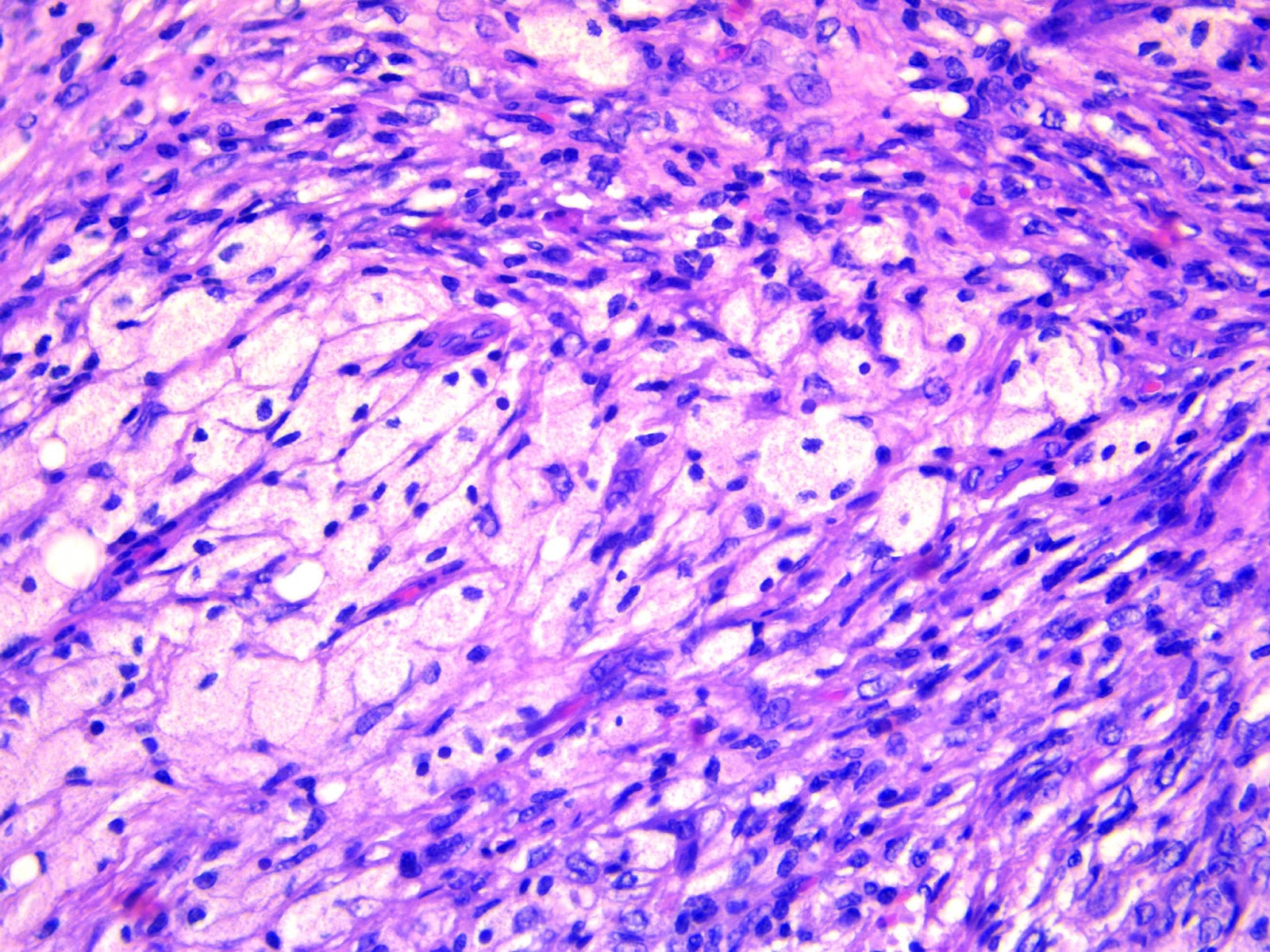
Infantile fibrosarcoma / Fibrosarcoma infantil t(12:15)
Paciente de 3 meses con tumor en brazo, los cortes histológicos muestran neoplasia fusocelular, con células que se disponen juntas formas haces cortos que se cruzan entre ellos, en patrón de "espinas de pescado", la atipia celular es moderada y la actividad mitósica es alta.
Etiquetas:
case,
congenital,
fibrosarcoma,
foto,
fotomicrografía,
infantil,
infantile,
micro,
photo,
Sarcoma
Ganglioneuroma en maduración / Ganglioneuroma (maturing type)
Uno de los tumores neuroblástico que encontramos con frecuencia en la patología pediátrica. Una lesión con predominio de estroma Schwanianno y solo células ganglionares en distintas etapas de maduración. Ya no hay focos de neuroblastos indiferenciados.
![]() |
| Lesión predominantemente compuesta por estroma Schwanianno (>95%) con grupos de células ganglionares en distintas etapas de maduración |
![]() |
| Grupos de células ganglionares en maduración en un estroma Schwanianno exclusivamente. |
Etiquetas:
en,
foto,
ganglioneuroma,
imagen,
maduración,
maturing,
micrografía,
microscópica,
neuroblástico,
tumor,
type
martes, 16 de junio de 2015
Necrosis hepática submasiva / Submassive hepatic necrosis (macroscopic description)
![]() |
| Hígado con necrosis hepática submasiva, parénquima café es el necrótico (80%), los áreas nodulares verdes corresponden a hígado residual en regeneración con colestasis |
Etiquetas:
hepatic,
Liver,
necrosis,
pathology,
submasiva hígado,
submassive,
transplant,
trasplant
Suscribirse a:
Comentarios (Atom)









